“The mouth is the mirror of the body”

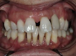
gum_disease_1I don’t remember who first told me that but it’s something that I said to patients regularly through my clinical career. We knew that it was unusual to find unhealthy gums in a healthy individual, to add to that, anyone who couldn’t get the enthusiasm and motivation to look after their mouth was unlikely to look after the rest of their body.

So it’s refreshing to find an almost relentless number of research papers implicating the mouth in other diseases. I wonder how often the converse is true?

So more ammunition to give to the ever sceptical public & medics. Now why isn’t your hygienist fully booked?

History Of Periodontitis Linked To Cerebrovascular Disease In Men view here.

Patients With Moderate To Severe Periodontitis Need Evaluation For Heart Disease Risk view here.

Published by Alun Rees

Speaker. Writer. Coach. Analyst. Troubleshooter. Consultant. Writer. Presenter. Broadcaster. Mentor. Tactician. Catalyst.

Leave a comment

This site uses Akismet to reduce spam. Learn how your comment data is processed.