For the history of TGBSL series take a look here.
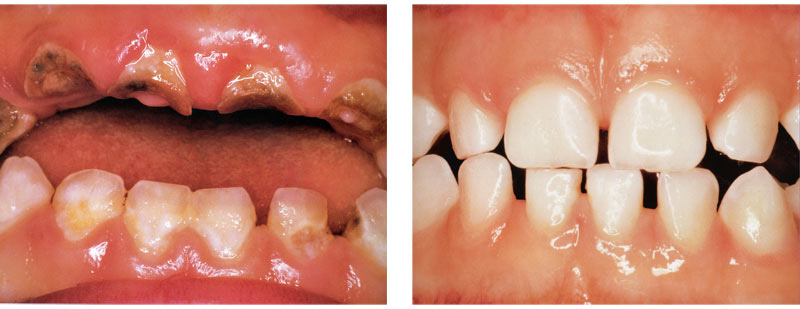
This piece on the Dail Wail website made me want to know more (apart from why people really read this awful rag). Sweets made of bacteria fight off tooth decay.
Here’s a link to the original paper, published in September 2013.
Abstract: Reducing the burden of pathogenic mutans streptococci is a goal of oral health. Lactobacillus paracasei DSMZ16671, even after heat-killing, specifically co-aggregates mutans streptococci in vitro and retains this activity in human saliva. In rats, it reduces mutans streptococcal colonization of teeth and caries scores. This pilot study sought to assess the potential of heat-killed L. paracasei DSMZ16671 (pro-t-action®) to reduce levels of salivary mutans streptococci in humans, using sugar-free candies as a delivery vehicle. A randomized, placebo-controlled, double-blind in vivo study of three groups examined the short-term effect of sugar-free candies containing 0 (placebo), 1, or 2 mg/candy piece of heat-killed L. paracasei DSMZ16671 on the levels of salivary mutans streptococci determined before and after consumption of the candies. The candies were consumed 4 times during 1.5 consecutive days. Compared to the placebo group, the test groups’ saliva had significantly reduced mutans streptococci as an immediate effect. These results suggest the use of heat-killed L. paracasei DSMZ16671 in suckable candies as a method to reduce mutans streptococci in the mouth and, thereby, caries risk. We think this a new concept and strategy for caries prevention and management.
Test Products: Boiled, hard, sugar-free candies that were either supplemented or not supplemented with L. paracasei DSMZ16671 were produced for this study by DR.C SOLDAN® GmbH (Nuremberg, Germany)
Primary Outcome Measures: The primary outcome measure was the group change in salivary concentration of mutans streptococci immediately before (Pre-1, day 1 and Pre-2, day 2) and after (Post-1, day 1 and Post-2, day 2) consuming the test candies as compared to placebo candy. A second outcome measure was the individual study subject change in salivary mutans concentration.
I could go off on a long rant about the need for sweets at all, the supermarkets displaying sweets at check outs (supposed to have disappeared), the lack of any sort of joined up dental health policy in the UK, the iniquitous NHS dental system – but you will have heard it all before and I’m tired.

