The Monday Morning Quote #575

“The spider looks for a merchant that doesn’t promote themselves so that he can spin a web across the door and live a life of undisturbed peace.”

Mark Twain

Real name: Samuel Langhorne Clemons

The Monday Morning Quote #574

“Excellence is the ultimate in selfishness.

There’s no higher high than great performance at anything.” 

Tom Peters

The more things change…

From the editorial in the current BDJ

Each generation believes that it discovers everything for the first time and suffers each difficulty anew. Is it that a certain personality type was (and is still) attracted to dentistry? If so, does this partly explain today’s burnout statistics as much as it did then? ‘In 1913, Dormer was declared bankrupt, which he stated was caused by continuing ill-health … he had left his previous job as an assistant due to a nervous breakdown but had been unable to work up a business sufficiently large to meet his living expenses, been in financial difficulties for some years and had taken loans from money lenders.’

As usual a great read, and I’ve never been to Bexhill-on-Sea either.

 

The Monday Morning Quote #572

”Never attribute to malice that which can adequately be explained by stupidity”.

Also known as Hanlon’s Razor – attributed to Robert J. Hanlon

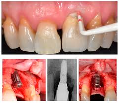
Peri-implant Disease

From The Blog of the Campbell Academy. – a routine “must read”.

“….It is absolutely crystal clear the patients who attend for routine maintenance get very little amounts of Peri-implant disease and the disease that they get is hugely treatable.

Whereas it is also absolutely clear that if they don’t attend the incidents of Peri-implant disease goes through the roof.

The number of dental implants placed in the United Kingdom over the last 10 years has rocketed and so here it comes.

Throughout that time there have been countless practitioners who have paid no attention to the fact that we have known for years that maintenance is the key to the reduction in Peri-implant disease…

….Peri-implant disease is a real reality even in the practices of people who do it properly, but for those who don’t it will be a disastrous long-term complication.”

 

Sleep isn’t for Wimps.

I had a nickname in my first year at university – “The Midnight Rambler” – I didn’t sleep very well and used to wander around the halls of residence looking for people with their lights on to share a coffee and have a chat. (I suppose the coffee was a clue…)

I finally got around to reading “Why we sleep” by Malcolm Walker and wish it had been compulsory reading 40 years ago, I might have had a more productive life rather than a more manic one. I grew through a period where it was considered macho to go without sleep, I remember the plastic surgery firm at Withington Hospital boasting at 11pm how they had been in theatre all day and were just about to go back there. I always said that I needed less sleep than others – in hindsight I was wrong.

Walker talks about productivity and the effect that sleep (or its lack) has on it. He quotes this article and makes the point that KPIs in most companies are measuring things that are easy to measure – revenue, goals accomplished, profit, new customers etc. Most of these are affected by employee traits creativity, intelligence, motivation, effort, efficiency, effectiveness, sociability, emotional stability and honesty. All of these are systematically dismantled by insufficient sleep.

Would you let a surgeon who had only had 4 hours sleep operate on you? I wouldn’t. 

Would you let a woman who only slept for four hours a night run a country? I wouldn’t do that either.

It’s a great book that will frighten you and convince you to make an early night and sufficient sleep a part of your routine.

Buy it HERE.

 

The Monday Morning Quote #571

“Nothing is so useless as doing things efficiently that should never have been done at all.”

Peter Drucker

The Monday Morning Quote #570

“Quality is never an accident, it is the result of intelligent effort.”

John Ruskin

Busy being busy.

Another unfinished blog from the archive sees the light of day. This one was inspired by THIS from which I quote.

I have worked with clients, and for people, whose answer to everything is to “reorganise, start again, throw everything in the air and see where it lands”. This of course means that their lives are full of re-starts, new starts and fresh starts. It makes them feel better but often improves very little because the things that need to change are rarely addressed. They are too busy making plans, talking about the jam tomorrow will bring instead of planting the raspberry canes today, watering them tomorrow, staking them the next day, picking the fruit when it’s ripe, etc

Of course some change, the right change, is a good thing; but activity for its own sake is pointless.

They remind me of an old friend of mine who confided that his parents had been right to try to stop him when he married his pregnant girlfriend because, “it was the right thing to do”. A dozen years, four house moves, three different towns, multiple job changes, and another child later he accepted that they were incompatible and they divorced. He thought that new starts, without changing anything else, without addressing the underlying problems, would make the difference.

“Solving problems almost always starts with ensuring you’re solving the actual problem. When the actions we should take are not obvious, or the problem is difficult, it’s easy to feel the need to do something … anything. We convince ourselves that motion is better than inaction. The choice, however, isn’t between action and inaction. This is a false duality. There is a third option that often makes the most sense.”

“Motion is easy. Results are hard.”

If you’re paying a coach listen to them…

 

 

 

A reformed cynic speaks.

There is an old saying, “a cynic is what an idealist calls a realist”.

Peter Senge wrote, “Scratch the surface of most cynics and you find a frustrated idealist — someone who made the mistake of converting his ideals into expectations.”

Most of us start our businesses with high hopes and ideals of changing the world. I had dreams of ridding the world of dental diseases until someone said to me, “If you can’t get all doctors to stop smoking, what hope have you of getting everyone to floss?”

Once I had recovered from what I initially thought was an offensive comment, I soon realised that it is not only silly but a life shortening exercise, to want something for someone more than they want it themselves.

Once this simple life lesson had been inwardly digested and understood I was able to go back to being an idealist – but on my terms, nobody else’s.